Cabinet dentaire des Dr LEFEBVRE - Dr VERCRUYSSE - Dr BARRON
Chirurgiens-Dentistes à ARDRES - OMNIPRATIQUE ET IMPLANTS DENTAIRES
Accueil
Notre cabinet
Plan
Urgence
Fiches Conseils
Vidéos
Soins, hygiène et pathologies
Traitement des gencives
Prothèses dentaires
Implants dentaires
Dentisterie esthétique
Contactez-nous
Implantologie
Accès au questionnaire pré-RDV
Accueil
Notre cabinet
Plan
Urgence
Fiches Conseils
Vidéos
Soins, hygiène et pathologies
Traitement des gencives
Prothèses dentaires
Implants dentaires
Dentisterie esthétique
Contactez-nous
Implantologie
Accès au questionnaire pré-RDV
Cabinet dentaire des Dr LEFEBVRE - Dr VERCRUYSSE - Dr BARRON
91 Esplanade du Marechal Leclerc
62610
ARDRES
+33 3 21 35 48 27
Chirurgiens-Dentistes à ARDRES - OMNIPRATIQUE ET IMPLANTS DENTAIRES
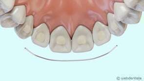
Fil de contention
Vidéos 3D
Partager
Twitter
Partager
Partager
Envoyer
Copier
Cabinet dentaire des Dr LEFEBVRE - Dr VERCRUYSSE - Dr BARRON
91 Esplanade du Marechal Leclerc
62610
ARDRES
+33 3 21 35 48 27
Liens
Politique de confidentialité et charte cookie
Mentions légales
Conditions Générales Utilisation
Charte déontologique
Ordre national
Annuaires chirurgiens dentistes
En savoir +
Hygiène & Asepsie
Honoraire & remboursement
Rechercher
Création par
Connexion